Nicole L
Before

After

She lost her front teeth in an accident, Dr. Pannu was able to do bridge for her smile line, she left the office with temporary and finished her treatment in 2 visits.
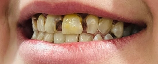
Samantha G
Before

After

Dr. Pannu did all Emax Crowns in Bleech shade and Lower Arch in-house whitening treatment.
Barb S
Before

After

She had few missing teeth on the upper arch, Dr. Pannu finished her case with Upper Zirconia bridge she wanted a more natural look. Did Perio for lower and upper arch, with in-house whitening treatment and PerioProtect* for continued Perio home care trays.
Julie H
Before

After

She was not confident with her smile, and was wearing a mask in public to hide her teeth. Dr. Pannu did Zirconia Crowns for her smile line.
Mary T
Before

After

Mary came to the office as she was unhappy with her broken, missing and uneven teeth upper teeth. She was able to achieve her smile with the full upper arch Bridge and Crowns.
George R
Before

After

He lost his front tooth, and Dr. Pannu restored his smile by placing an implant along with a provisional crown.
Get a brighter smile today!
Contact us now to schedule your appointment and have the smile you've dreamed about!